ΕΠΙΠΕΔΗΜΑΤΙΚΑ
Επικοινωνήστε μαζί μας
Υποθέσεις πελατών. 4D μπλοκ ζιρκονίας.
2024-08-29
Διοικητής: Ιβάιλο Ντιμίτροφ από τη Βουλγαρία
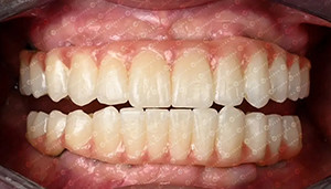
Υλικά: Yucera 4D Pro πολυεπίπεδο δίσκο ζιρκόνια
Σκιά: Α1
2024-08-29
Διοικητής: Ιβάιλο Ντιμίτροφ από τη Βουλγαρία
Υλικά: Yucera 4D Pro πολυεπίπεδο δίσκο ζιρκόνια
Σκιά: Α1
Στείλτε το αίτημά σας απευθείας σε εμάς
Αφήστε μήνυμα
Θα σας ξαναπάρουμε σύντομα!
Το μήνυμά σας πρέπει να είναι μεταξύ 20-3.000 χαρακτήρων!
Παρακαλώ ελέγξτε το e-mail σας!
Περισσότερες πληροφορίες διευκολύνουν την καλύτερη επικοινωνία.
Υποβλήθηκε επιτυχώς!
Θα σας ξαναπάρουμε σύντομα!
Αφήστε μήνυμα
Θα σας ξαναπάρουμε σύντομα!
Το μήνυμά σας πρέπει να είναι μεταξύ 20-3.000 χαρακτήρων!
Παρακαλώ ελέγξτε το e-mail σας!